Le déroulement de vos examens d'infiltrations PARIS Paris 15

Avant votre rendez-vous, lisez ces quelques consignes afin de préparer au mieux votre examen médical.

Sur cette page, vous trouverez toutes les informations nécessaires pour :


  • INFILTRATION ARTICULAIRE

  • INFILTRATION EPIDURALE DU RACHIS


INFILTRATION ARTICULAIRE

De quoi s'agit il ?

Une infiltration articulaire consiste à injecter dans l'articulation douloureuse un produit (acide hyaluronique ou produit à base de cortisone) dont l'objectif est de réduire vos phénomènes douloureux.


Le déroulement de l'examen 

Votre coopération est essentielle : elle contribuera à la rapidité du geste et diminuera les risques de douleur et de complications. L'examen doit se dérouler avec un maximum de précautions, une très grande asepsie. Il faut donc suivre les recommandations du médecin. Vous devez bouger le moins possible pendant l'ensemble de la procédure. La préparation (installation, désinfection, lavage des mains,,,,) est la partie la plus importante et la plus longue de l'examen. 


L'infiltration comprend quatre étapes principales: 

1) la désinfection, préparation de l'asepsie 

2) l'introduction de l'aiguille

3) la vérification du bon placement de l'aiguille par une ponction de liquide et/ou une injection de produit iodé (en dehors de tout problème allergique) 

4) l'injection du produit.


complications liées à l’infiltration ? 

Toute intervention sur le corps humain, même conduite dans des conditions de compétence et de sécurité maximales, comporte un risque de complication. Comme pour toute infiltration, il existe un très faible risque d’infection. Toutes les précautions nécessaires sont prises pour l’éviter.




RÉSULTATS

Une diminution des activités le jour de l'infiltration est conseillée pour une meilleure efficacité de l'infiltration. L'amélioration se manifeste en général 48h après l'infiltration Paris 15 pour les corticoïdes, et jusqu'à plusieurs semaines pour l'acide hyaluronique.


AVANT L'EXAMEN

Merci d'informer notre équipe médicale dans les cas où: 

-Vous avez des risques particuliers de saigner ?

-Vous êtes allergique ?

-Vous êtes enceinte ou susceptible de l’être et si vous allaitez ?

D’une manière générale, n’hésitez pas à fournir tout renseignement qui vous paraîtrait important à communiquer et à nous informer de toute maladie sérieuse. 



LE JOUR DE L'EXAMEN 

Venez de préférence accompagné. Il ne faut pas être à jeûn. 


Après votre retour à domicile : En cas de fièvre, de douleur persistante, de chaleur ou de rougeur dans les jours suivants l'examen, il est important de contacter immédiatement votre médecin ou notre équipe.



Il est normal que vous vous posiez des questions sur l’examen qui vous êtes amené à passer. Nous espérons y avoir répondu. N’hésitez pas à nous interroger à nouveau pour tout renseignement complémentaire.

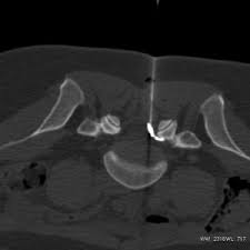
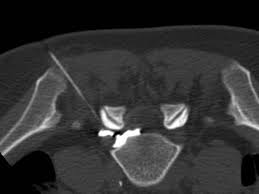
INFILTRATION ÉPIDURALE DU RACHIS


DE QUOI S'AGIT IL ?

L’infiltration épidurale par voie foraminale ou inter lamaire consiste à injecter un médicament anti-inflammatoire à base de cristaux de cortisone au voisinage du nerf dont l’irradiation est responsable de votre douleur. 

L’injection est effectuée soit à l’endroit où le nerf sort de la colonne vertébrale, c’est à dire dans un canal (ou foramen) situé entre deux vertèbres (voie foraminale), soit à distance du nerf (voie inter lamaire).


Pourquoi faire cette ponction dans le service de radiologie ? 

Le geste sera effectué par scanner. Cette technique permet de choisir le bon point d’entrée de l’aiguille et de suivre son trajet. 


Le déroulement de l’examen 

Pendant l’infiltration, suivez bien les recommandations du médecin et du technicien. Votre coopération est essentielle : elle contribuera à la rapidité du geste de ponction et diminuera les risques de douleur et de complications. Vous êtes installé sur le dos sur une table de scanner. Désinfection très soigneuse de la peau. Sous contrôle scanner une aiguille est mise en place à proximité du nerf. Une faible quantité de produit de contraste iodé est injectée pour vérifier la bonne position de l’extrémité de l’aiguille, puis le médicament est injecté.

L’infiltration rachidienne se fait en ambulatoire : elle ne nécessite donc pas d’hospitalisation.


les bénéfices, les implications et limites de l’infiltration ? 

Cette infiltration Paris 15 peut diminuer votre douleur, mais le résultat n’est pas constant. Toute intervention sur le corps humain, même conduite dans des conditions de compétence et de sécurité maximales, comporte un risque de complication.
Comme pour toute ponction, il existe un très faible risque d’infection. Toutes les précautions nécessaires sont prises pour l’éviter. L’Agence française de sécurité sanitaire et des produits de santé (Afssaps), rapporte la survenue exceptionnelle de paraplégie/tétraplégie dans les indications des injections radioguidées du rachis lombaire ou cervical.
Un repos allongé le jour de l’infiltration, et si possible, le lendemain, est conseillé pour une meilleure efficacité de l’infiltration. L’amélioration se manifeste en moyenne 72h après l’infiltration.



AVANT l'examen

Merci d'informer notre équipe médicale dans les cas où: 

-Vous avez des risques particuliers de saigner ?

-Vous êtes allergique ?

-Vous êtes enceinte ou susceptible de l’être et si vous allaitez ?


D’une manière générale, n’hésitez pas à fournir tout renseignement qui vous paraîtrait important à communiquer et à nous informer de toute maladie sérieuse.


Le jour de l'examen

Il ne faut pas être à jeûn. Venez de préférence accompagné. 

Pour être plus à l’aise, il est conseillé d’aller aux toilettes avant la ponction. 


Après votre retour à domicile, un repos est conseillé pour une meilleure efficacité de l’infiltration dont l’effet ne se manifestera qu’après quelques jours. 


En cas de fièvre ou de douleur importante dans les jours qui suivent l’infiltration (possibles signes d’infection), il est important de contacter immédiatement votre médecin ou notre équipe.



Il est normal que vous vous posiez des questions sur l’examen qui vous êtes amené à passer. Nous espérons y avoir répondu. N’hésitez pas à nous interroger à nouveau pour tout renseignement complémentaire.